Cardiovascular Flow Analysis Parameters

Analysis Parameters

Overview

This page introduces the key visualized parameters used to analyse cardiovascular flow dynamics. Each parameter highlights a different aspect of blood flow behaviour and hemodynamic forces within the heart and vessels. Together, these metrics provide a comprehensive framework for understanding flow efficiency, wall interaction, rotational patterns, and structural motion. The following sections visually demonstrate each parameter and explain how they contribute to the assessment of cardiovascular function.

Energy Loss

Energy loss refers to the dissipation of energy that occurs when blood, a viscous fluid, does not flow smoothly. This dissipation is caused by conflicted flow within the blood stream, described scientifically as "vorticities and helicities" (meaning swirling, turbulent, or helical patterns). When the blood movement is inefficient or turbulent, the useful energy that should propel the blood forward is essentially wasted.
Advanced imaging tools, such as four-dimensional flow cardiac magnetic resonance (4D flow CMR), allow this energy loss to be quantified. For example, a successful surgical correction resulted in the estimated energy loss dropping from 4.3 mJ/cardiac cycle to 2.9 mJ/cardiac cycle, indicating that the flow had become more efficient and less destructive.

Figure analysis

user friendly interface
Figure A shows complex helical and vortex flow patterns before surgery, indicating turbulent and inefficient blood movement caused by the narrowed graft segment. This turbulent flow results in significant energy loss, which can damage blood cells and impair cardiac efficiency.
Figure B shows the blood flow after surgical correction, where the flow becomes more laminar and streamlined. This smoother flow pattern reduces energy loss, meaning the heart expends less effort to pump blood effectively.
user friendly interface
The accompanying graph quantitatively depicts energy loss over the cardiac cycle. Before surgery (round line), energy loss peaks sharply during late systole and early diastole, reflecting the heart’s struggle against abnormal flow. After surgery (square line), the energy loss is substantially lower, indicating improved flow efficiency and reduced strain on the heart.

The concepts discussed here are explored in depth in this article.

Article link here

WSS (Wall Shear Stress)

Wall Shear Stress (WSS) measures how much friction the flowing blood applies to the inner lining of blood vessels, which is made up of endothelial cells. When blood flow becomes turbulent or irregular, such as in high-velocity jets or swirling vortex and helical patterns, the stress on the vessel walls increases.

user friendly interface
Red areas: High shear stress — blood applies greater frictional force on the vessel wall.
Blue areas: Low shear stress — blood applies less frictional force.

Visual representation

The image below presents the mosaic diagrams of the WSS intensity distribution across the ascending aorta (AAo), arch, and descending aorta (DAo). The diagram summarizes regional variations in WSS among the different aortic curvatures, allowing comparison between the anterior, posterior, greater, and lesser curvature walls.
user friendly interface
In the proximal ascending aorta, the anterior wall experiences higher WSS (blue-highlighted anterior wall for WSS). The arch and distal descending aorta show varied WSS intensities, with some regions like the greater curvature having higher WSS. This highlights how blood flow forces vary depending on the vessel geometry and location, influencing where cardiovascular issues may develop.
To further investigate how four-dimensional flow MRI (4D flow MRI) analyzes the distribution of Wall Shear Stress (WSS), please find through the PDF.

Streamline

Streamlines “Are lines representing the direction of the blood flow showcasing flow acceleration or deceleration through color contrast. The structure of vortex flow or flow collision can also be visualized. Beneficial to visualize flow characteristics at stenosed regions or near the valves”

   
user friendly interface
Panel (c): Streamlines Showing Aliased High-Velocity Flow Before Correction The colorful 3D lines represent streamlines, which trace the actual direction and speed of blood flow. The bright red peaks show very high-velocity regions, usually occurring in diseases like aortic stenosis. The area beneath appears distorted or discontinuous this is aliasing, caused when true velocities exceed the MRI’s velocity encoding (VENC) limit.
Panel (d): Streamlines After Aliasing Correction shows the blood flow after surgical The streamlines are now continuous and physiologically accurate. The corrected vector field aligns with true blood flow direction. The red high-velocity jet is clearly defined and no longer fragmented.orrection, where the flow becomes more laminar and streamlined. This smoother flow pattern reduces energy loss, meaning the heart expends less effort to pump blood effectively.

Visualisation

Streamlines are created using advanced imaging (2D cine Phase-Contrast MRI) and post-processing software (iTFlow) to visualize how blood moves through the heart. They help assess how well the valves work. In conditions like aortic stenosis, where the aortic valve is narrowed, streamlines show the fast, concentrated jet of blood passing through the tight opening and into the Valsalva sinus during peak systole.
user friendly interface
Panel (c): Full-Length Streamline Visualization of the Aorta
The long, continuous lines represent streamlines, tracing the path taken during systole.
The color scale indicates velocity:
- Red/yellow = high-speed flow
- Green/blue = intermediate or slower flow.
Panel (d): Top Image: Focused Streamline Views of the Jet (Two Perspectives)
The red/yellow streamlines form a narrow, tall jet, indicating:
- High acceleration
- A concentrated flow column through the stenotic region
- The transition from red → yellow → green shows how velocity decreases as blood disperses downstream.
Bottom Image: Cross-Sectional View of Flow (Looking from Above)
Colouring consistent with the explanation from C.
The use of streamlines to visualise blood flow and estimate functional valve opening (MRI-derived effective orifice area, MRI-EOA) in patients with valve narrowing is explored in detail in this paper.

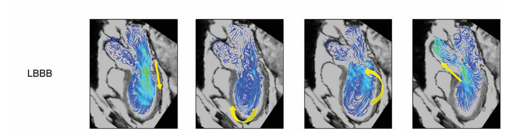
Pathlines

In simple terms, a pathline is an imaginary line that traces the complete, true path traveled by a single particle of fluid (in this case, blood) over a specific period of time. If we imagine tracking a single red blood cell as it moves through the heart, the pathline is the precise line drawn through space that tracks its movement from beginning to end. pathlines are generated by sophisticated software that processes four-dimensional flow magnetic resonance imaging (4D-flow MRI) data, often using mathematical techniques.

These pathline images show how blood moves smoothly through the left ventricle across the cardiac cycle. In early diastole, pathlines curve inward as blood enters and begins forming a vortex. By late diastole, this vortex strengthens, organising the incoming flow. During early systole, the pathlines redirect upward as the ventricle contracts, and by late systole they form a focused jet toward the aortic valve.

Uses for pathlines

The primary application of pathlines in the heart is to trace the movement of blood throughout a complete cardiac cycle, from the moment blood enters the left ventricle (LV) through the mitral valve until it is ejected. The pathline visualization is crucial for determining how efficiently the heart handles blood flow, particularly by tracking the formation of vortices (swirling patterns).
In LBBB, the pathlines show delayed and uncoordinated filling, with vortices forming off-centre and persisting longer than normal. As systole begins, the flow remains disorganised, and by late systole the ejection jet is weaker and poorly aligned. These pathlines illustrate how LBBB disrupts the timing and efficiency of blood transport through the ventricle.

To explore how iTFlow uses 4D-flow MRI pathlines to track cardiac blood flow and quantify hemodynamic inefficiency, see the full paper here.

Helicity

Helicity is the local strength of the helical motion of blood flow. In simple terms, helicity measures how intensely blood flow is twisting or spiraling as it travels. Helicity is a key indicator of flow efficiency. While healthy blood flow often has a gentle spiral, excessive helicity contributes to conflicted blood flow. This conflicted flow, along with vorticity (swirling), generates friction within the blood, resulting in a quantifiable metric known as Energy Loss (EL).

Understanding Helicity in Blood Flow

In the figure, helicity visualisation (panel b) shows how twisting or spiralling the blood flow is as it moves through the vessel. Helicity combines two key features of motion, velocity direction and rotation, so areas where the streamlines swirl strongly or twist around the vessel axis appear as regions of high positive or negative helicity. In the colour map, reds represent strong positive helicity (left-handed twisting), while blues represent strong negative helicity (right-handed twisting). These swirling patterns are important because they indicate how efficiently the flow transports momentum, mixes, and stabilises as it travels. In healthy or streamlined flow, helicity tends to be organised and smooth. 

Relative to the paper

Pathological conditions, such as the unique post-surgical anatomy found in Transposition of the Great Arteries (TGA) patients after the Jatene procedure, exhibit greater helicity in the aortic root compared to healthy controls, suggesting a non physiological flow pattern that promotes aortopathy (aortic disease).

To investigate the flow dynamics underlying cardiac inefficiency such as abnormal swirling motions (vortices) and increased energy loss (EL) arising from non physiological blood flow patterns please consult the PDF.

Vorticity

Vorticity (ω) is a fluid dynamics concept that describes the local spinning motion of blood. It represents the magnitude and axial direction of the spinning within the flow. It is mathematically defined as the curl of the Velocity field. vorticity measures how much the blood is locally swirling, churning, or rotating around an axis as it moves.

Visual Representation of Helicity and Vorticity

This figure visualises how helicity and vorticity differ across the right ventricle in repaired Tetralogy of Fallot (RTOF), right-ventricular dilation (RVD), and healthy controls. Velocity vectors are superimposed onto cine MRI, with blue arrows marking regions of strong vortex structure and red arrows marking weaker rotational flow.

Normal vs Abnormal Right Ventricular Flow

In healthy hearts, blood entering the right ventricle forms a stable, organised ring shaped vortex during filling. This structure supports efficient transport toward the outflow tract and minimises energy loss. In rTOF, pulmonary regurgitation generates a dominant, abnormal vortex in the right ventricular outflow tract. This disrupts normal flow organisation, leading to increased rotational instability and reduced efficiency. RVD patients show altered vortex formation as well, though typically less severe than in rTOF.

Relative to the paper

"normal flow” In a healthy heart, and even in patients whose hearts are enlarged due to shunts (like ASD), the incoming blood forms an organized, "donut"shaped ring vortex during the filling phase (diastole). This stable, organized swirl moves smoothly toward the outflow area (RVOT), which is believed to reduce wasted energy and help the heart fill and pump efficiently.
“Abnormal flow” In patients with repaired Tetralogy of Fallot (rTOF), the condition of pulmonary regurgitation (PR) causes blood to leak back into the heart. This PR jet creates a powerful, abnormal swirl (dominant vorticity formation) that starts in the Right Ventricular Outflow Tract (RVOT). This new, powerful, conflicting swirl disrupts the natural, beneficial donut vortex from the tricuspid valve.

Temporal vorticity Patterns

These graphs display how vorticity and forward flow velocity change throughout the cardiac cycle. RTOF patients exhibit markedly higher vorticity peaks, especially in the RV outflow tract during systole—reflecting the strong, disorganised vortex induced by pulmonary regurgitation. Their RV inflow region also shows elevated diastolic helicity, indicating persistent rotational instability.

To explore how abnormal vorticity and helicity relate to right ventricular dysfunction and reduced exercise capacity in repaired Tetralogy of Fallot, please refer to the full paper (PDF).

AFI (Aneurysm Formation Indicator)

AFI is a hemodynamic metric used to identify regions of blood flow stagnation and abnormal wall shear stress (WSS) behavior in blood vessels. It was proposed by Mantha et al. (2006) to determine where an aneurysm is likely to form or how an aneurysm may behave over the cardiac cycle.

More specifically

AFI looks at how the wall shear stress vector (WSS) changes direction during a heartbeat. If the WSS direction aligns with endothelial cells for long periods or has low rotation, it may signal a zone of flow stagnation.These zones correlate with areas where aneurysms tend to develop or expand.

Relation to the heart

AFIs relation to the heart arises due to it being a reflection of how the heart's pulsatile pumping affects blood flow and wall shear stress throughout the arteries. As the heart cycles between the two Phases systole and diastole, it creates changing forces on the vessel wall, AFL measures how the direction of this shear stress changes over the entire heartbeat. Regions where flow slows, stagnates, or shows little shear rotation are often linked to aneurysm formation, plaque buildup, and other vascular problems.Its depiction of how the heart driven flow interacts with the shapes such as curves or branches which can create recirculation zones and stagnation points prove to be highly useful when determining points where aneurysms commonly develop.

For more details on AFI and its hemodynamic basis, click here to view the full paper.

Oscillatory Shear Index (OSI)

The Oscillatory Shear Index (OSI) is an important hemodynamic parameter used to assess the quality and stability of blood flow within vessels. It describes the temporal variation in Wall Shear Stress (WSS), indicating how much the direction of shear stress changes over the cardiac cycle (WSS is explained in the earlier section). OSI measures how frequently and to what extent shear stress reverses direction during the cardiac cycle. Low OSI values indicate stable, unidirectional flow, whereas high OSI values reflect disturbed or oscillatory flow patterns. Together, OSI, WSS, and Energy Loss (EL) provide a comprehensive description of the hemodynamic environment within blood vessels.

OSI Visualisation Before and After Treatment

user friendly interface
This figure illustrates how OSI reveals unstable, back-and-forth blood flow in the portal venous system. Panels A and B show angiographic images, where the arrows highlight regions with abnormal or irregular flow pathways. Panels C and D display OSI maps derived from 4D Flow MRI, with the color scale indicating the degree of shear oscillation along the vessel wall. Areas with higher OSI (yellow–red) represent regions where flow frequently reverses direction—an important marker of disturbed hemodynamics linked to endothelial stress and disease progression.

Detailed OSI Mapping Across the Portal Venous Branches

user friendly interface
This full 3D OSI visualization highlights where oscillatory shear accumulates across the left, right, and main portal veins. Regions shown in warm colors correspond to high OSI, where the vessel wall experiences rapidly changing shear direction. These zones align with junctions and curved segments where complex recirculation tends to occur. The inset graphs show OSI profiles extracted from specific segments, allowing numerical confirmation of how strongly shear oscillates at those anatomical points.

Clinical relevance of OSI

In the referenced study, the Oscillatory Shear Index (OSI) was used to assess flow stability in the portal venous system following vascular intervention.
  • Main Portal Vein (MPV): OSI increased after intervention, indicating more disturbed and oscillatory flow.
  • Left Portal Vein (LPV): OSI decreased, suggesting a shift toward more stable and directed flow.
Together with Wall Shear Stress (WSS) and flow rate, OSI provides insight into how vascular interventions alter blood flow quality.
For more about Oscillatory Shear Index (OSI) and discover how Four-dimensional (4D) flow MRI is revolutionizing hemodynamic assessment.

(RRT) Relative Residence Time

Relative Residence Time (RRT) reflects how long blood stays near the vessel wall and is closely tied to flow stagnation. It combines information from both Wall Shear Stress (WSS) and the Oscillatory Shear Index (OSI) to show where blood moves slowly or changes direction frequently, conditions that reduce the “washing” effect of shear on the vessel lining. High RRT values indicate prolonged contact of blood with the wall, which can promote endothelial dysfunction, plaque development, and aneurysm progression. Like OSI and WSS, RRT is an important hemodynamic metric for identifying areas of unhealthy or disturbed blood flow within vessels.

Relation to blood flow

RRT's relevance to the heart and blood flow arises due to the pulsatile nature of the heart and how the pumping controls how quickly or slowly blood moves through vessels. The software measures how long blood “lingers” near the vessel wall during each cardiac cycle.When the heart generates smooth, fast flow, RRT stays low, but when the flow slows, reverses, or becomes disturbed, often due to vessel shape or disease RRT increases, indicating stagnation. Cardio Flow Design’s CFD tools calculate RRT from patient-specific flow simulations, allowing clinicians to identify areas with slow, unhealthy blood.
For a deeper explanation of RRT and its role in assessing blood flow stagnation, you can refer to the research paper here.

Motion Tracking

Flow Motion Tracking is the process of visually and quantitatively tracking the movement of blood as it travels through the heart and major vessels over time. This detailed tracking is essential because complex cardiovascular diseases, such as repaired Tetralogy of Fallot (rTOF), create abnormal or turbulent flow patterns that are not clarified by conventional measurements.

Right-Ventricular Motion Segmentation

user friendly interface

The first set of images shows how motion tracking begins with precisely defining the anatomical regions that contribute to right-ventricular (RV) function.


Using cine MRI slices, the RV is separated into two functional zones:

Influx region (Inflow) — where blood enters through the tricuspid valve.

Outflow region (RVOT) — where blood exits toward the pulmonary artery.


The orange “Cut #1” and “Cut #2” lines illustrate how the system slices through the heart to isolate motion in each region.

This segmentation stage is essential because it allows the software to track movements of each part independently, quantify motion patterns, and compare how the RV deforms during the cardiac cycle.

Motion tracking then assigns each region a distinct 3D geometry, forming the basis of the models shown in Panel B.

Particle Tracking and Flow Abnormalities

Particle tracking visualises blood-flow pathways and reveals key flow features such as vortices. In healthy hearts, blood forms an organised, ring-shaped vortex during filling. In rTOF, pulmonary regurgitation disrupts this pattern, producing dominant abnormal vortices that override normal flow organisation..

Clinical Relevance of Motion Tracking

user friendly interface
These four scatter plots illustrate how motion-based metrics (derived from RV tracking and deformation analysis) relate to clinical markers of right-ventricular performance. They demonstrate that abnormal flow-motion patterns detected through advanced analysis, such as RV-DVQ or RVOT-EQ correlate strongly with structural changes, valve dysfunction, and reduced exercise capacity.
For a detailed explanation of motion tracking and related analyses, please refer to the full paper.

PCA (Peak Centerline Acceleration)

PCA measures the intensity of blood flow velocity along the centerline of a vessel, typically obtained from MRI. It reflects how quickly blood accelerates during the cardiac cycle, capturing the dynamic effects of the heart’s pumping. Higher PCA values indicate faster, more forceful blood flow, while lower values suggest slower or weaker flow. By analyzing PCA, clinicians and engineers can assess how the heart’s output interacts with vessel geometry, detect regions of abnormal flow, and better understand areas at risk of vascular disease.

Relevance to iTFlow

Using Cardio Flow Design’s CFD tools, phase-contrast angiography (PCA) can be simulated and compared with MRI-derived velocity data to assess how cardiac pumping interacts with vessel geometry. This enables detection of abnormal flow behaviour and evaluation of conditions such as stenosis, aneurysms, and disease-related flow alterations.
These CFD models use patient-specific MRI flow fields as boundary conditions, linking imaging and simulation to provide a more comprehensive assessment of cardiovascular hemodynamics than either method alone. Because phase-contrast MRI is widely used clinically to non-invasively measure time-resolved blood velocities, PCA serves as a valuable quantitative marker for research and diagnosis.
For more about PCA and the wider context of applications used to measure blood flow please find in the below paper.

Valve tracking

Valve Tracking is a specialized, semiautomated technique used in advanced cardiac magnetic resonance (CMR) analysis, specifically drawing on data acquired from Four-dimensional (4D) flow studies. Its primary function is to accurately measure the velocity and characteristics of blood flow as it enters the heart’s ventricle, focusing on the interface of the atrioventricular valve. Valve tracking provides crucial metrics that characterize diastolic filling. Specifically, the technique measures the atrioventricular peak inflow velocity (E-wave) and the inflow velocity at end-diastole (A-wave), both quantified in centimeters per second (cm/s).

Valve Tracking and Energetic Cost of Blood Flow

user friendly interface
This figure illustrates how OSI reveals unstable, back-and-forth blood flow in the portal venous system. Panels A and B show angiographic images, where the arrows highlight regions with abnormal or irregular flow pathways. Panels C and D display OSI maps derived from 4D Flow MRI, with the color scale indicating the degree of shear oscillation along the vessel wall. Areas with higher OSI (yellow–red) represent regions where flow frequently reverses direction—an important marker of disturbed hemodynamics linked to endothelial stress and disease progression.

Detailed OSI Mapping Across the Portal Venous Branches

user friendly interface
This first set of images illustrates how valve tracking and chamber segmentation allow us to quantify the energetic cost of blood movement across the heart throughout the cardiac cycle.
The anatomical panels (A) show precise tracking of the atrium, systemic venous pathway, and single-ventricle (SCPC) pathway. By accurately identifying valve position and chamber boundaries over time, the software can compute how blood accelerates and decelerates as valves open and close.
The kinetic energy plot (B) demonstrates a sharp rise during systole, when the valve opens and blood is forcefully ejected, followed by a smaller diastolic peak as the chamber refills. Complementing this, the viscous energy loss curve (C) highlights how inefficient flow patterns around the valve generate energy dissipation. Systole yields the highest loss due to rapid, valve-driven flow acceleration, while diastolic losses remain lower and more gradual.

Energy Loss Caused by Valve Regurgitation

user friendly interface
This second image compares flow behavior in patients with atrioventricular valve regurgitation (AVVR) versus those without. By tracking the precise motion and timing of the valve throughout systole and diastole, the software visualizes how regurgitation alters intracardiac flow patterns.
In the AVVR images (A), high-velocity jets appear during systole as blood abnormally leaks backward through the valve. This produces turbulent, disorganized flow patterns that persist into diastole. In contrast, the “No AVVR” case displays more streamlined flow with clean forward ejection and smooth filling, consistent with normal valve closure.
The energy loss curves (B) quantify this difference: Patients with AVVR show dramatically elevated viscous energy loss (VEL) across the cardiac cycle, reflecting the mechanical inefficiency created by a leaking valve. Higher VEL corresponds to greater wasted energy and increased hemodynamic burden on the heart.
Discover how valve tracking non-invasively measures abnormal atrioventricular flow to improve risk assessment and predict outcomes in single-ventricle patients before the Fontan procedure.

Vector Visualisation

Vector visualisation transforms advanced imaging data into three-dimensional (3D) representations of blood flow direction and velocity across the vascular system. This analysis is enabled by time-resolved three-dimensional phase-contrast imaging (4D-flow MRI), which captures full 3D flow velocity information throughout the cardiac cycle. Using dedicated flow analysis software, iTFlow, these data are post-processed to visualise blood flow vectors across the entire field of view. Flow behaviour is displayed using multiple visual formats, including 3D vector fields, streamlines, pathlines, and particle traces.

Interpreting Vector Visualisation

user friendly interface
Vector Visualisation – How to Read This Image
What you are seeing: Coloured lines represent blood flow through different vessels, showing both direction and speed.
Colour scale: Blue/green indicates slower blood flow, while yellow/red indicates faster flow.
Highlighted region: The circled area shows disturbed or chaotic flow with swirling patterns, which may indicate abnormal vessel behaviour or areas of clinical concern.
Anatomical labels: Labels such as AB, SMV, and P7 identify key vessel branches where these flow changes occur.

Wide-Field Vector Visualisation of Vascular Blood Flow

user friendly interface
The coloured lines again represent blood flow direction and speed, with warm colours indicating faster flow. The circled region shows complex, mixed flow patterns, suggesting that blood is moving in many directions at once. This can happen when vessels branch, twist, or narrow. The smoother red–yellow lines in the main vessel (AB) show strong, directed flow, which then spreads into slower, branching paths. This image highlights how vector visualisation helps reveal changes in blood behaviour across the entire vessel network, making it easier to understand where flow is smooth, fast, slow, or disrupted.

Relevance to the paper/blood flow

Vector visualisation provides detailed hemodynamic information not achievable with conventional imaging, enabling qualitative and quantitative assessment of blood flow behaviour.
Key clinical benefits
3D flow understanding: Visualises full blood flow topology across complex vascular networks for detailed local hemodynamic assessment.
Detection of abnormal flow: Identifies compromised, reversed, vortex, or helical flow patterns associated with pathology.
Assessment of flow efficiency: Reveals uneven or reduced flow distribution caused by stenosis or vessel narrowing.
Treatment planning and evaluation: Confirms intervention success by demonstrating improved, more uniform, and laminar flow patterns.
For more about vector visualisation and 4D-flow MRI please visit.